
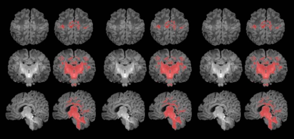
La contaminación atmosférica afecta a la maduración cerebral del bebé
Un estudio publicado en la revista Environment International concluye que la contaminación atmosférica durante el embarazo se asocia con una maduración cerebral más lenta en los recién nacidos. Se trata del primer trabajo que ha analizado en el primer mes de vida su…
19/10/2025